صحة

أفضل المشروبات الطبيعية لتحسين النوم

main image60f45cc2294c7

خبرني – يمكن أن تصبح المشروبات الطبيعية نظيرًا جيدًا للحبوب المنومة لأولئك الذين لا يرغبون في اللجوء إلى العوامل الدوائية مرة أخرى. يعد عصير الكرز أحد أفضل المشروبات للنوم، حيث يحتوي على نسبة عالية من التربتوفان. وهو حمض أميني ضروري لإنتاج هرمون الميلاتونين الذي يعتمد عليه نوم الإنسان وجودته. يكفي كأسان من العصير يوميًا لتقليل الاستيقاظ غير المتوقع أثناء الليل …

أكمل القراءة »

طريقة تحضير كبسة الموزات لعزومات العيد

main image60f49411a3e4a

خبرني – الكبسة من الأطباق الخليجية المميزة على موائد العزومات. تعلمي طريقة تحضيرها بموزات اللحم على طريقة مطبخ سيدتي وقدميها لعائلتك وضيزفك على سفرة غداء العيد المقادير – فخذ خروف : 1 حبة (موزة الخروف) – الزيت النباتي : 3 ملاعق كبيرة – طماطم : 5 حبات (مقشرة ومهروسة) – ورق غار : 2 ورقة – البصل : 2 حبة …

أكمل القراءة »

مخاطر تناول اللحوم على معدة فارغة

main image60f4ab6237441

خبرني – ذبح الأضاحي خلال أيام عيد الأضحى من أقدم الطقوس الدينية التي اعتاد المسلمون على فعلها كل عام، وهو ما يضع العديد من الأشخاص في دوامة العادات الغذائية الخاطئة التي تؤثر سلباً على صحتهم. وفي هذا الإطار تنوه الدكتورة رضوى الباز، دكتوراه الكيمياء الحيوية بمعهد بحوث تكنولوجيا الأغذية، إلى أن عادة الإفطار بالفتة ولحم الضأن وتناول أطعمة مليئة بالدهون …

أكمل القراءة »

علامات على القدمين يمكن أن تكشف الإصابة بأمراض خفية

main image60f1631f0ba8b

خبرني – في الكثير من الأحيان، قد يتجاهل المرء بعض العلامات والأعراض التي تظهر على قدميه والتي يمكن أن تدل على إصابته بأمراض مزمنة وخطيرة تشكل تهديداً حقيقياً على حياته. فيما يلي أهم الأعراض التي تظهر على القدمين والتي تدل على الإصابة بأمراض خطيرة، وفق ما أورد موقع “إم إس إن” الإلكتروني: قدم جافة متقشرة يمكن أن يكون سببها مشاكل …

أكمل القراءة »

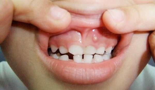
لاداعي للقلق..تعرف على أسباب ظهور حبوب اللثة

main image60f17791bf625

خبرني – قد تظهر حبوب اللثة في الفم مما يسبب ازعاجا وشعور بعدم الراحة في الفم وغالبا ماتتهيج هذه الحبوب وتسبب الألم وعدم الرغبة بتناول الطعام . ليس عليك القلق هذه الحبوب لا تعد ضارة نسبيا فهي تظهر وتزول من تلقاء نفسها. ما هي أسباب ظهور حبوب في اللثة؟ ‏ قد تتسبب كل حالة من الحالات التالية بظهور حبوب اللثة: …

أكمل القراءة »

دراسة تفجر مفاجأة عن علاقة حمضنا النووي بأسلافنا المنقرضين

main image60f207c3a0f92

خبرني – اتخذ العلماء خطوة أخرى نحو حل لغز دائم باستخدام أداة جديدة قد تسمح بإجراء مقارنات أكثر دقة بين الحمض النووي للإنسان الحديث والحمض النووي لأسلافنا المنقرضين. فوفقا لدراسة نشرت يوم الجمعة في مجلة “ساينس أدفانسز”، فإن نسبة 7 بالمئة فقط من الجينوم الخاص بنا يتقاسمها بشر آخرون بشكل فريد، ولا يتشاركها أسلاف سابقون آخرون. وقال ناثان شايفر، عالم …

أكمل القراءة »

فوائد الصيام المتقطع وهذه ضوابط اتباعه

main image60f20be4027ea

خبرني – تتعدد الحميات الغذائية الهادفة لإنقاص الوزن، وتتنوع ويعد الصيام المتقطع أحد تلك الحميات، وكغيره ينطوي الصيام المتقطع على مجموعة من الفوائد والآثار الجانبية. وفي ما يلي سبع فوائد للصيام المتقطع، وأيضاً المخاطر والآثار الجانبية التي يجب مراعاتها قبل البدء في اتباع هذا النظام الغذائي. 1- قد يقلل من الآلام الالتهابية عندما يكون جسمك في حالة صيام، فهذا يعني …

أكمل القراءة »

مواد غذائية تصبغ الأسنان وتغير لونها

main image60f028a05b2f7

خبرني – حذرت خبيرة تغذية من بعض المواد والأطعمة التي تساهم أكثر من غيرها في تلوين الأسنان وصبغها باللون القاتم إلى أن تصبح داكنة بسبب مشاكل المينا. وحددت عضو الجمعية الوطنية لخبراء التغذية، الروسية مارينا ماكيشا، في مقابلة مع تلفزيون “موسكو24″، عددا من المواد الغذائية التي تؤثر أكثر من غيره في صبغ الأسنان باللون القاتم. وقالت الخبيرة “تنشأ المشاكل عندما …

أكمل القراءة »

هذه الأطعمة قد تساعدك على العيش حتى 100 عام

main image60f04ac0970bc

خبرني – كشف باحثون عن وجود مناطق في العالم يعيش سكانها فترة أطول من غيرهم، مثل سردينيا في إيطاليا، أوكيناوا في اليابان، ولوما ليندا في ولاية كاليفورنيا الأمريكية. وأشار موقع “ويب ميد” المتخصص في الشئون الصحية والطبية، إلى أنه وبجانب اشتراك سكان هذه المناطق في كونهم نشطين في حياتهم اليومية، إلا أن أكثر ما يميزهم هو طعامهم الصحي الذي ساهم …

أكمل القراءة »

الشوكولاتة ومرض السكري.. حقائق ومفاجآت

main image60f004bfeea01

خبرني – منذ القرن السادس عشر، بدأ إعداد الشوكولاتة وتطورت تدريجيًا لتصبح واحدة من أهم أنواع الحلوى المفضلة للعديد من الأسر في أوروبا علاوة على إضافتها كنكهة للعديد من الأطعمة مثل الكعك والحلويات والآيس كريم والبسكويت وغيرها. ووفقا لما نشره موقع Boldsky، بمضي الوقت تبين أن الشوكولاتة ليست مجرد نكهة مضافة بل إنها عنصر مغذٍ وصحي مفيد. ترجع الأهمية الصحية …

أكمل القراءة »